011-707-8020
TOP
はじめての方へ
歯科医師紹介
矯正治療について
治療例
よくあるご質問
費用・料金
診療時間・アクセス
治療例
TREATMENT EXAMPLE
デコボコの歯並び
(叢生)
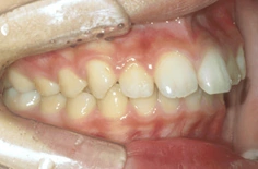
歯・顎の突き出し
(前突)
前歯が閉じない
(開咬)
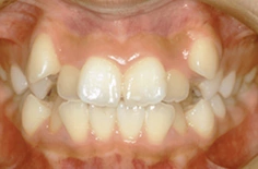
下顎前突
医院案内
ホーム
初めての方へ
歯科医師紹介
診療時間・アクセス
お知らせ
診療カレンダー
矯正治療について
こどもの矯正
大人の矯正
見えにくい矯正
保険適応の矯正
費用・料金
よくあるご質問
治療例
デコボコの歯並び
(叢生)
歯・顎の突出
(前突)
前歯が噛めない
(開咬)
下顎前突
予約・ご相談はこちら
予約・ご相談はこちら