矯正を通じて、
歯の役割と
大切さを伝える。
カウンセリングを通して、
歯列矯正の目的をお話しします。
よこやま矯正歯科は歯列矯正治療を専門とする歯科医院です。
大学歯学部にて若手の教育や臨床・研究に携わった経験と医療技術をもとに、2000年に開院しました。
多くの患者様が矯正治療の恩恵を得られることをめざして、当院は初めに歯列矯正の目的と健康における歯の重要性についてお伝えします。
初回無料のカウンセリングでご自身の歯について知っていただき、治療目的を明確にしたうえで治療へと進んでいきたいと考えております。



矯正治療についてTREATMENT
歯と顎の成長を支え、永久歯への
生え変わりをサポートします。
大人になってから治療を始める、
患者様のご要望に応えます。
舌側矯正やマウスピース型矯正など、
装置をお選びいただけます。
顎変形症などの顎骨の症状に
ついて治療を行います。
治療例TREATMENT EXAMPLE
01
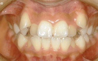
萌え揃うスペースが不足し、
歯が前後に重なっている状態です。
02
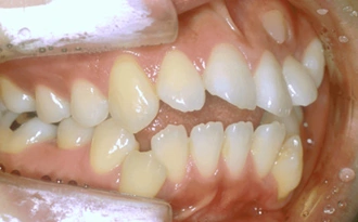
上顎または下顎の歯や顎が、
前に突き出た状態です。
03
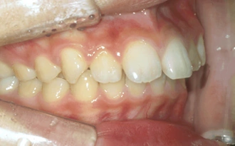
上下の歯を嚙み合わせても、
前歯が嚙み合わない状態です。
04
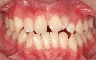
前歯の噛み合わせが
逆の状態です。
歯科医師紹介DOCTOR

もっと多くの人が矯正治療の恩恵を得られるように、
質の高い治療を提供したい。
矯正治療は患者様や現状の状態によって方法は様々です。事前に歯科用CTや顎機能診断装置を用いた精密検査や顎態画像分析などを行い、 その上で適切な矯正治療をご提案します。また、近年は矯正装置も年々進歩して小型化し、装着していることが目立たない透明なものや 歯の裏側に装着するものなど、より抵抗なく治療ができるようになってきています。
〒001-0045 北海道札幌市北区麻生町4丁目12-8 アルファ麻生ビル7階
|
診療時間 |
月 |
火 |
水 |
木 |
金 |
土 |
日 |
祝 |
|---|---|---|---|---|---|---|---|---|
|
10:00-12:30 |
● |
● |
● |
― |
● |
● |
▲ |
― |
|
14:00-19:00 |
● |
● |
● |
― |
● |
▲ |
▲ |
― |
※ ▲日曜日診療は月1回・▲土曜日、日曜日は17:00まで
休診日 / 毎日木曜日、祝日

011-707-8020

診療カレンダー