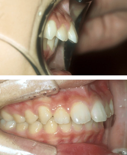
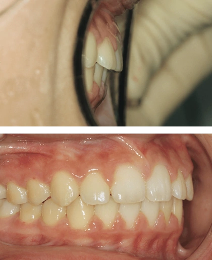
治療例TREATMENT EXAMPLE
02歯・顎の突き出し(前突)
治療前


治療後

主訴:
上の前歯が出ていて咬み切れない
主症状:
上顎前突
初診時年齢:
12歳 女性
治療期間:
1年10か月
治療費:
装置料 55万円 処置料 5,000円×22 回 (税抜)
治療内容:
ヘッドギアにて上顎第一大臼歯を後方に移動させた上で、非抜歯にてマルチブラケット装置を使用して治療を行った症例。
リスク:
ヘッドギアをきちんと使用しないと歯が動かず、Ⅱ期治療において小臼歯抜歯による矯正治療が必要になる。
歯ブラシが不十分であると治療中に虫歯や歯肉炎をおこし、治療期間も余計にかかることがある。装置撤去後に保定装置をきちんと使用しないと後戻りを起こす。

011-707-8020
