治療例TREATMENT EXAMPLE
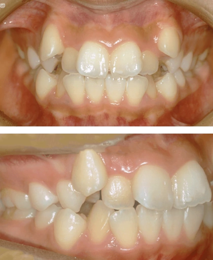
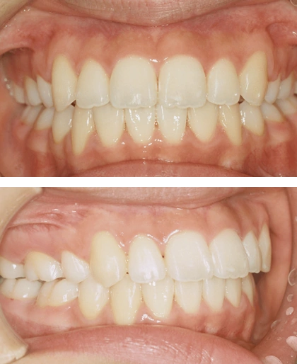
01デコボコの歯並び(叢生)
治療前


治療後

主訴:
八重歯
主症状:
叢生、上顎犬歯の低位唇側転位
初診時年齢:
23歳 女性
治療期間:
2年1か月
治療費:
装置料 55万円 処置料 5,000円×24 回 (税抜)
治療内容:
上下顎4本の小臼歯を抜歯して、マルチブラケット装置を使用して治療を行った症例。
リスク:
歯ブラシが不十分であると治療中に虫歯や歯肉炎を起こし、治療期間も余計にかかる心配がある。
また、歯肉が退縮してすき間が残ることもある。装置撤去後に保定装置をきちんと使用しないと後戻りを起こす。

011-707-8020
