治療例TREATMENT EXAMPLE
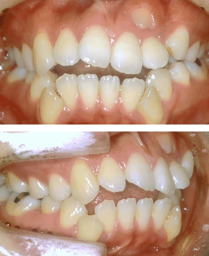
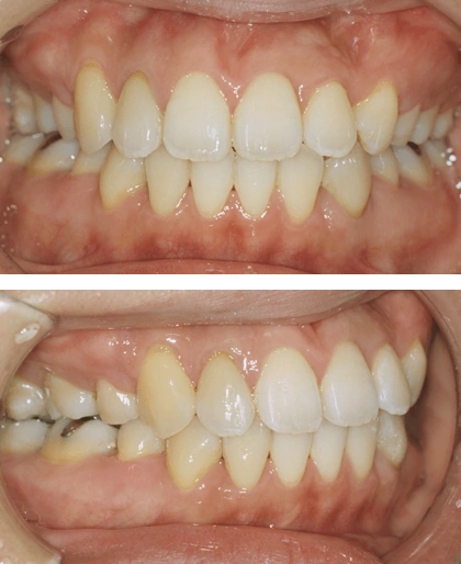
03前歯が閉じない(開咬)
治療前


治療後

主訴:
前歯で咬み切れない
主症状:
開咬、叢生
初診時年齢:
24歳 女性
治療期間:
2年2か月
治療費:
装置料 55万円 処置料 5,000円×26 回 (税抜)
治療内容:
上下顎4本の小臼歯を抜歯して、マルチブラケット装置を使用して治療を行った症例。
リスク:
歯ブラシが不十分であると治療中に虫歯や歯肉炎をおこし、治療期間も余計にかかることがある。また、歯肉が退縮してすき間が残ることもある。装置撤去後に保定装置をきちんと使用しないと後戻りを起こす。舌で歯を押す癖や、歯並びに悪影響をあたえる癖が改善されない方は、治療期間の延長や良い治療結果が得られない場合がある。

011-707-8020
