治療例TREATMENT EXAMPLE
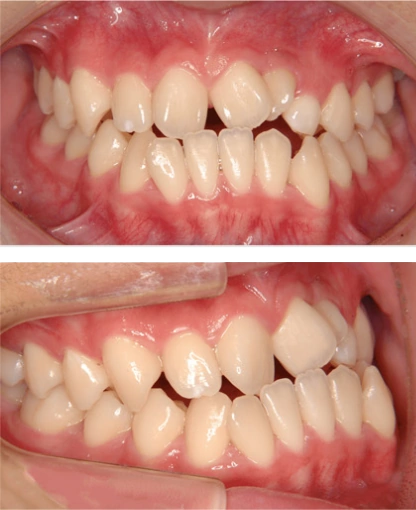
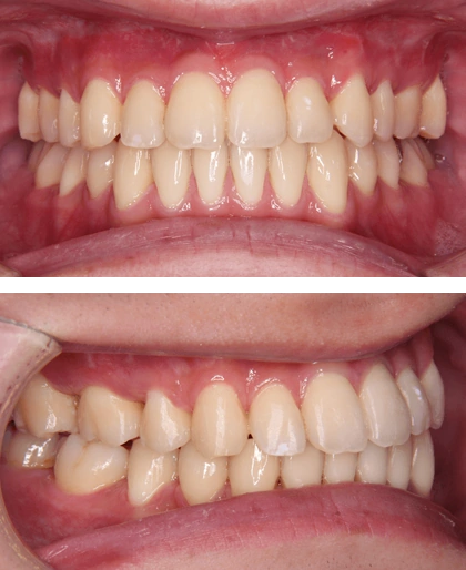
04下顎前突
治療前


治療後

主訴:
咬み合わせが逆
主症状:
反対咬合、叢生
初診時年齢:
28歳 女性
治療期間:
3年2か月
治療費:
保険が適用された(顎変形症)
治療内容:
上顎4本の小臼歯を抜歯して、マルチブラケット装置を使用して歯並びを整えた後に下顎骨切り手術で咬み合わせと側貌を治した症例。
リスク:
手術後に口唇などに痺れが出る場合があるが、通常徐々に回復する。手術後に咬み合わせを安定させるゴムかけを怠ると後戻りや手術後の治療が長引くことがある。歯ブラシが不十分であると虫歯や歯肉炎を起こし、治療期間も余計にかかることがある。装置撤去後に保定装置をきちんと使用しないと後戻りを起こす。

011-707-8020
