最近の子供は顎が細く、噛む力も弱くなってきています。
噛む力が弱くなり、顎が発達せずに細いままだと、正しい位置に歯が萌えずに、歯並びや噛み合わせが悪くなってしまいます。
その理由としては、柔らかいものを多く食べる事により、食べ物をあまり噛まなくなってしまったのがひとつの原因です。
柔らかい食べ物だと噛む回数が少なくなってしまうので、顎が鍛えられません。
本来は乳歯が抜けて一回り大きな永久歯に萌え替わる時期には、顎が鍛えられ、大きく成長していなければなりません。
しかし、柔らかい物ばかり食べている場合、顎が発達せず、永久歯が萌えても十分なスペースが足りなくなります。
そのせいで、狭いスペースに永久歯が乱れて萌え、歯並びも悪くなります。
小さな顎は歯並びの悪化を招き、様々な弊害をもたらしてしまいます。
歯並び悪化による様々な弊害
![]() |
悪い歯並びだと歯磨きがしづらくなり、虫歯や歯周病の原因になる |
|---|---|
![]() |
舌の位置がずれ、スムーズな発音がしにくくなる |
![]() |
正しい噛み合わせができず、食べ物をきちんと噛む事ができなくなる |
![]() |
噛めなくなってしまうと、顎や肩の筋肉バランスが崩れ、肩こり・頭痛が起きたりする |
こどもの矯正治療は、小学生~中学生の初めぐらいまでの時期(第1期)と、中学生以降の時期(第2期)の2段階にわかれます。
第1期治療(小児矯正)
永久歯が萌えそろうまでの時期に行う矯正治療です。
おもに、あごの成長発育や前歯・奥歯の萌え方をコントロールすることにより、きれいな歯並びや咬み合わせのための土台作りをします。
この時期では、咬み合わせの状態や歯列の発育に応じて固定式や可撤式の装置を口腔内に装着したり、骨格的な不正咬合の改善にヘッドギアやチンキャップなどを使用する場合もあります。
この時期に治すことが出来ない問題がある場合は中学生以降の大人の矯正で治療が必要となります。

咬み合わせや歯並びに問題がある場合の矯正治療は、永久歯が萌えそろう前が治療の開始に最適な時期です。
混合歯列期の段階で検査や治療を始めると、その先の本格的な治療に向けた準備ができます。

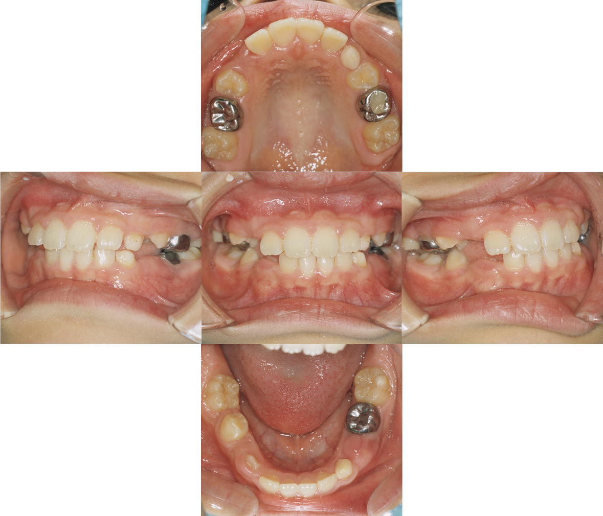
主訴
下の前歯が出ている
主症状
下顎前突
初診時年齢
8歳 女性
治療期間
Ⅰ期治療:1年4か月、Ⅱ期治療:1年3か月
治療費
装置料 Ⅰ期治療30万円、Ⅱ期治療 25万円 処置料 4,000円×16 回、 5,000円×14回(税抜)
治療内容
Ⅰ期治療でチンキャップと2×4アプライアンスにて前歯の被蓋改善を行った。Ⅱ期治療で非抜歯にてマルチブラケット装置を使用して治療を行った症例。
リスク
チンキャップをきちんと使用しないと効果が出なかったり、被蓋改善するのに治療期間が長くかかる。歯ブラシが不十分であると治療中に虫歯や歯肉炎をおこし、治療期間も余計にかかることがある。骨格性の反対咬合であるので思春期の下顎の成長量によっては治療方針の変更や治療期間が長くかかることもある。
■初診
■第1期治療終了時
■第2期治療開始時
■第2期治療終了時

主訴
前歯が凸凹、下の前歯が出ている
主症状
下顎前突
初診時年齢
8歳 男性
治療期間
Ⅰ期治療:1年0か月、Ⅱ期治療:2年0か月
治療費
装置料 Ⅰ期治療30万円、Ⅱ期治療 25万円 処置料 4,000円×12 回、 5,000円×24回(税抜)
治療内容
Ⅰ期治療でチンキャップと2×2アプライアンスにて前歯の被蓋改善および歯並びを改善した。Ⅱ期治療で上下顎4本の小臼歯を抜歯して、マルチブラケット装置を使用して治療を行った症例。
リスク
チンキャップをきちんと使用しないと効果が出なかったり、被蓋改善するのに治療期間が長くかかる。歯ブラシが不十分であると治療中に虫歯や歯肉炎をおこし、治療期間も余計にかかることがある。反対咬合であるので思春期の下顎の成長量によっては治療方針の変更や治療期間が長くかかることもある。
■初診
■第1期治療終了時
■第2期治療開始時
■第2期治療終了時

主訴
出っ歯、歯並び
主症状
上顎前突
初診時年齢
8歳 男性
治療期間
Ⅰ期治療:1年0か月、Ⅱ期治療:2年0か月
治療費
装置料 Ⅰ期治療30万円、Ⅱ期治療 25万円 処置料 4,000円×12 回、 5,000円×24回(税抜)
治療内容
Ⅰ期治療でチンキャップと2×2アプライアンスにて前歯の被蓋改善および歯並びを改善した。Ⅱ期治療で上下顎4本の小臼歯を抜歯して、マルチブラケット装置を使用して治療を行った症例。
リスク
チンキャップをきちんと使用しないと効果が出なかったり、被蓋改善するのに治療期間が長くかかる。歯ブラシが不十分であると治療中に虫歯や歯肉炎をおこし、治療期間も余計にかかることがある。反対咬合であるので思春期の下顎の成長量によっては治療方針の変更や治療期間が長くかかることもある。
■初診
■第二期治療終了時

主訴
歯並び
主症状
叢生および上顎前突
初診時年齢
11歳 女性
治療期間
Ⅰ期治療:1年0か月、Ⅱ期治療:1年4か月
治療費
装置料 Ⅰ期治療30万円、Ⅱ期治療 25万円 処置料 4,000円×12 回、 5,000円×16回(税抜)
治療内容
非抜歯治療で行う目標を立て、Ⅰ期治療でヘッドギアにて上顎第一大臼歯を後方に移動させた。Ⅱ期治療を非抜歯にてマルチブラケット装置を使用して治療を行った症例。
リスク
ヘッドギアをきちんと使用しないと歯が動かず、Ⅱ期治療において小臼歯抜歯による矯正治療が必要になる。歯ブラシが不十分であると治療中に虫歯や歯肉炎をおこし、治療期間も余計にかかることがある。装置撤去後に保定装置をきちんと使用しないと後戻りを起こす。
■初診
■第1期治療終了時
■第2期治療終了時